您好,欢迎光临中科瑞泰!

免费咨询电话:
400-699-0631

首页 > 核酸生物学 > 核酸电泳 > 上样缓冲液

6×DNA上样缓冲液(三染料)

6×DNA上样缓冲液(三染料)

产品编号:DL030

产品规格:10×1ml

数量
价格 ¥200

6×DNA上样缓冲液(三染料)

6×TriColor DNA loading buffer

货号

名称

规格

DL030-02

6×DNA上样缓冲液(三染料)

5×1 ml

DL030

10×1 ml

● 贮存、运输及效期:

常温贮存;常温运输;有效期两年。

● 制品说明

本制品是琼脂糖凝胶电泳用的上样缓冲液。其组份如下:20mM EDTA pH8.0;36%甘油;0.035% 二甲苯菁,0.05%溴酚蓝;0.05% RealRed;0.05%橙黄G。该产品特点是含有三种不同颜色的示踪染料,可以指示不同条带大小位置。

● 使用说明

向PCR产物或酶促反应液中加入1/5量的本制品,如5 μl样品中加入1 μl本制品,混匀后上样电泳。常温保存时,有时会出现沉淀,此时,请在37℃水浴中溶解后使用。

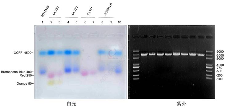
1%琼脂糖凝胶中示踪染料位置表

示踪染料

凝胶中对应片段位置

颜色

二甲苯菁

4000-5000 bp

靛蓝

溴酚蓝

300-500 bp

蓝色

红色染料RealRed

200-400 bp

红色

橙黄G

50-150 bp

橙黄


1%琼脂糖凝胶,1×TAE,150 V 25 min,RealSafe Red染色

样本:2.5 kb PCR产物,上样5 μl(90 ng),10 μl(180 ng)

           D2000 plus DNA ladder 上样5 μl

RTM416:D2000 plus DNA ladder(100-5000bp)

DL030:6×DNA上样缓冲液(三染料)

DL020:6×DNA上样缓冲液(双染料)

DL111:6×RealRed DNA 上样缓冲液(红色)


 
只有购买过该商品的用户才能进行评价。[发表评价]